〒468-0011 愛知県名古屋市天白区平針2-1007 第一小島ビル1F
地下鉄 平針駅より徒歩3分
診療時間:10:00~13:00/15:00~19:00※火曜18:00まで
休診日:木曜・日曜・祝日
ご予約・お問合せはこちらへ
052-848-0081
Dental esthetic
いつまでも白い歯、美しい口元でいたいという患者さまにご希望を実現できるよう、白い詰め物・被せ物(審美歯科)の治療にも力を入れています。
詰め物・被せ物の作成は、医院での歯の削り方や詰め物の型取りといった「形成」「印象」の技術と、それを形にする技工所の技術が両方重要です。当院では丁寧で確実な形成を行うことはもちろん、その上で世界的にも有名な技工所に詰め物・被せ物の製作を依頼しています。
患者さまのご要望に合わせ、保険診療・自費診療の両方を行っていますので、お気軽にご相談ください。

白い詰め物・被せ物(審美歯科)の治療、セラミックなどの審美治療において、30年以上の経験を積むことができました。患者さまにもご信頼いただいており、とても嬉しく思っています。
歯の削り方や詰め物の型取りといった基本的な部分の技術はもちろん、レベルの高い技工所との連携、質の高い材質など、お口の型取りから完成まで全てを高品質でご提供。
いつまでも白い歯、美しい口元でいたいという患者さまにご希望を実現できるよう、レベルの高い診療を行っています。
患者さまのご要望に合わせ、保険診療・自費診療の両方を行っていますので、お気軽にご相談ください。
特に自費診療につきましては、セラミックをはじめとした健康にも良く、審美的にも良い材質を使った治療をさまざまご用意しております。

質の高い詰め物や被せ物をご提供するには、腕の良い技工所と連携が欠かせません。
当院では、セラミックやジルコニア、ハイブリッド等の製作で世界的に有名な技工所に技工物製作を依頼しています。
依頼をしているのは、『カスプ・デンタルサプライ』(代表:山田和伸さま)というボストンにも拠点のある技工所です。
幸運にも当院の近所に国内技工所があり、密に連携を取り合い、審美歯科技工をお願いしています。
近所にあるため、修正などのスピーディな対応や、技工士によるシェードテイク(※技工士立ち会いのもと、患者さまご自身の歯と色味に違和感がないかチェックすること)も可能です。
医院と技工所がお互いに丁寧な仕事をし、しっかりと連携することによって、患者さまにご満足いただける、まるで天然歯のような詰め物や被せ物をご提供することができています。
カスプ・デンタルサプライさまHPはこちら

検査器具やレントゲンで、歯やあごの骨の状態を調べます。
歯やあごの骨など、お口がどんな状態なのかをご説明し、治療計画をご案内します。

詰め物や被せ物の土台になる歯を削ります。

詰め物や被せ物を装着します。
詰め物や被せ物を長持ちさせるために、定期検診や歯のクリーニングを受けることをおすすめします。
こちらは実際に、こいけ歯科クリニックで行われた審美治療の幾つかの症例です。
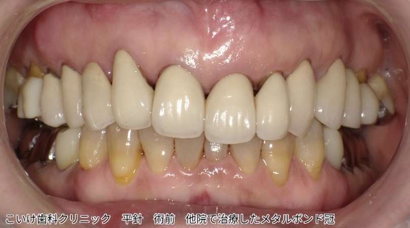
2025年9月
ジルコニア・セラミック・クラウン(シェードテイクなし)を使った治療です。
他院で治療したメタルボンド冠が入っていましたが
患者さんの希望で、当院でジルコニア・セラミック・クラウン(シェードテイクなし)を使い、治療をやり直しました。
天然歯の透明感と明るさを表現することで、患者さんにも大変満足して頂きました。
_________________________________________________


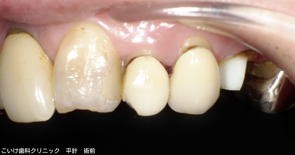
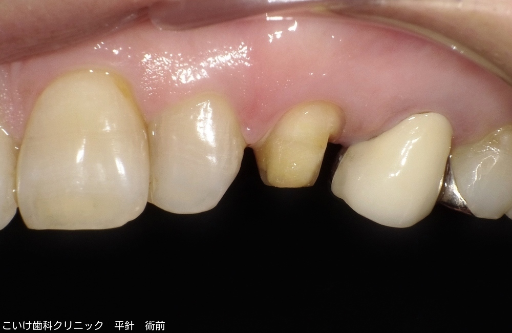
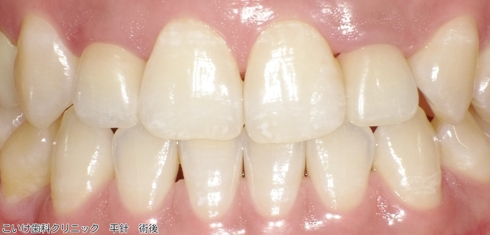
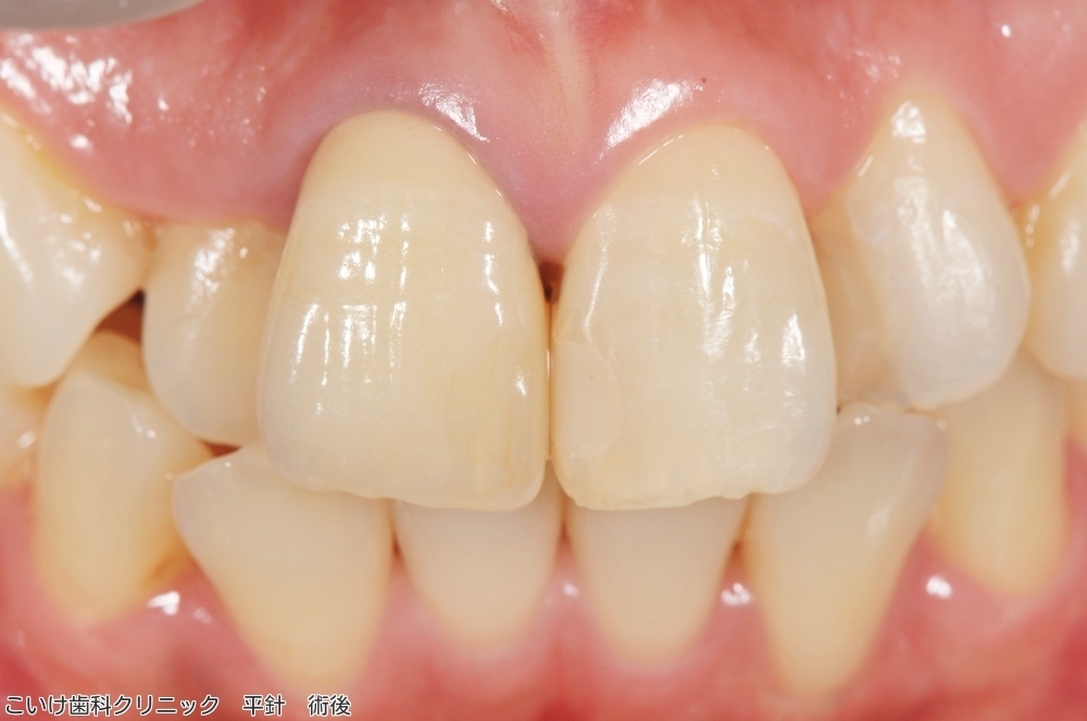
2024年8月
ジルコニア・セラミック・クラウン(シェードテイクなし)を使った治療です。

治療前です。
他院で治療したメタルボンド冠が入っていましたが
患者さんの希望で、当院で治療のやり直しを行いました。

治療後です。
当院でジルコニア・セラミック・クラウン(シェードテイクなし)を使い、治療をやり直しました。
天然歯の透明感と明るさを表現することで、患者さんにも大変満足して頂きました。
_________________________________________________


2022年4月から当院では、
ジルコニアインレー(上の写真)を導入しました。
1歯¥60,000(税抜)
ジルコニアインレー(上の写真)は e-maxインレー(下の写真)に比べて審美性は低いですが
硬くて割れにくい詰め物です。
e-maxインレー(下の写真)は審美性は高いですが
非常に割れ易いので当院では導入していません。
_________________________________________________
2020年3月
ジルコニア・セラミック・クラウン(シェードテイクあり)を使った治療です。

治療前です。
他院で治療したメタルボンド冠が、左上前歯1本に入っていましたが
患者さんの希望で、当院で治療のやり直しを行いました。

治療後です。
当院でジルコニア・セラミック・クラウン(シェードテイクあり)を使い、 左上前歯1本の治療をやり直しました。
天然歯の透明感と明るさを表現することで、患者さんにも大変満足して頂きました。
_________________________________________________
ハイブリッドインレー(エステニア)+フルジルコニアクラウン(カタナST グラデーションタイプ)を使ったメタルフリー治療の術後写真です。








ジルコニアの新たな可能性を切り開く
エナメル質に近似した透光性を持つフルジルコニアクラウン!!
色調の異なるジルコニアを積層したマルチレイヤードジルコニアでありながら、高い透光性を有します。
2020年2月
患者さんから「銀歯1本と銀の詰め物8本を白いかぶせモノや白い詰め物にして欲しい」との要望がありました。
僕の方からメタルフリー治療の提案をさせて頂いて、ご了承いただけましたので、処置をいたしました。
当院でのメタルフリー治療が終わった、術後の画像です。
ハイブリッドインレー(エステニア)+フルジルコニアクラウン(カタナST グラデーションタイプ)を使ったメタルフリー治療の術後写真です。
患者さんには
審美性が改善された事を大変喜んで頂けました。
ドクターとして嬉しい瞬間です。
_________________________________________________
右上1番、右上2番の審美的な改善を目的とする、治療の術前術後の比較写真です。










2019年9月
右上1番、右上2番の審美的な改善を目的とする、治療の術前術後の比較写真です。
当院で、右上1番、右上2番にジルコニア・セラミック・クラウン(シェードテイクあり)を被せた写真です。左上1番、左上2番の天然歯の色を再現して製作しました。
_________________________________________________


2017年7月
2016年12月の治療開始から2017年6月の治療終了まで、治療期間およそ6ヶ月を要した難症例です。
上の写真が、初診時の患者さんの口腔内写真です。
成人の方でしたが、先天的に多数の永久歯を喪失している状態で
それにより乳歯が多数、晩期残存している状態でした。
そのため食事の際に咀嚼がし辛い、見た目も悪いということで
長年に渡り悩まれていたそうです。
心配して、御両親も遠方から当院までお見えになったので、治療方針の説明をさせて頂きました。
院長の僕として苦労したのは、全ての歯牙が生活歯であったため、傾斜した歯をブリッジ治療する場合、神経を取らないといけない状況にあったことです。
それを回避するため、一部歯列矯正を行い、傾斜した歯牙をアップライトすることで
最終的に全ての歯牙の神経を残した状態で治療を完了することが出来ました。
補綴は全てジルコニア・セラミック・クラウンのブリッジとシングル・クラウンで行いました。
術後患者さんには
美しい歯並びになった事と、食物が噛める事を大変喜んで頂けました。
ドクターとして嬉しい瞬間です。
_________________________________________________


右からの側面観です。


左からの側面観です。
_________________________________________________






_________________________________________________
右上1番と左上1番から奥歯にかけての審美的な改善を目的とする、治療の術前術後の比較写真です。


右上1番と左上1番から奥歯にかけての審美的な改善を目的とする、治療の術前術後の比較写真です。
右上1番、左上1番、左上2番、左上3番の前歯四本はジルコニア・セラミック・クラウン(シェードテイクなし)
左上5番、左上6番の奥歯二本はフル・ジルコニア・クラウンで製作しました。


術前の写真には、右上1番、左上2番、左上3番に
他院で装着されたメタルボンドが入っているのが確認出来ます。
_________________________________________________
左下奥歯の審美的な改善を目的とする、治療の術後写真です。


患者さんの希望で、奥歯に金属を使わない治療を施しました。
1番奥の歯にはハイブリッド・インレー(白い詰め物)
その手前の三本の歯にはフルジルコニア・クラウンのブリッジ(白いブリッジ)
を使用しています。
_________________________________________________
左上4番の審美的な改善を目的とする、治療の術前術後の比較写真です。

治療前です。

治療後です。
当院で、左上4番にジルコニア・セラミック・クラウン(シェードテイクあり)を被せた術後写真です。左上1番と左上2番の天然歯の色を再現して製作しました。
「ジルコニア・セラミック・クラウンとメタル・ボンドとの比較」
写真正面から見て、今回セットしたジルコニア・セラミック・クラウンの右隣(左上5番)には
メタル・ボンド(シェードテイクなし)が被さっています。
ジルコニア・セラミック・クラウンと比べると色の違いがよく分かると思います。
表面は同じセラミックを使用していますが
ジルコニア・フレームと
メタル・フレームで
これだけの違いが出てきます。
ジルコニア・フレームでは
光の透過性があるため、天然歯に近い質感が出せます。
そのためジルコニア・セラミック・クラウンは、自然な色に仕上げることが出来るのです。


ジルコニア・セラミック・クラウンとメタル・ボンドを内側から見た画像です。
ジルコニア・セラミック・クラウンの場合はジルコニア・フレームを使用しますから、フレームの色は白です。
メタル・ボンドの場合はメタル・フレームを使用しますから、フレームの色は金属色になります。
審美的には間違いなくジルコニア・セラミック・クラウンの方が優れています。
尚、メタル・ボンドのフレーム金属はプレシャス・メタルですから、隣の保険診療の銀歯に比べ
金色であることが分かります。
_________________________________________________
右上2番の審美的な改善を目的とする、治療の術前術後の比較写真です。

治療前です。
右上2番の審美的な改善を目的とする治療の術前写真です。右上2番には既に当院が入れたファイバーコアが入った状態です。

治療後です。
当院で、右上2番にジルコニア・セラミック・クラウン(シェードテイクあり)を被せた術後写真です。右上1番の天然歯の色を再現して製作しました。
_________________________________________________
右上2番と左上2番の反対咬合改善を目的とする、審美治療の術前術後の比較写真です。

治療前です。
右上2番と左上2番が反対咬合です。

治療後です。
右上2番と左上2番にファイバー・コアを入れた後、ジルコニア・セラミック・クラウン(シェード・テイクあり)を被せて反対咬合を改善しました。
_________________________________________________
審美的な改善を目的とする、ジルコニア・セラミック・クラウン治療(シェードテイクあり)の術前術後の比較写真です。

治療前です。
右上2番、右上1番、左上2番、これら3本の歯の審美的な改善を目的とする治療の術前写真です。右上1番には既に当院が入れたファイバーコアが入った状態です。

治療後です。
当院で、右上2番、右上1番、左上2番にジルコニア・セラミック・クラウン(シェードテイクあり)を被せた術後写真です。左上1番の天然歯の色を再現して製作しました。右上2番、右上1番には内部にファイバーコアが装着してあります。
_________________________________________________

治療前です。
他院で治療したメタルボンド冠が、前歯2本に入っていましたが
患者さんの希望で、当院で治療のやり直しを行いました。

治療後です。
当院でジルコニア・セラミック・クラウン(シェードテイクあり)を使い、 前歯2本の治療をやり直しました。
天然歯の透明感と明るさを表現することで、患者さんにも大変満足して頂きました。
_________________________________________________
審美的な改善を目的とする、ジルコニア・セラミック・クラウンのブリッジ治療(シェードテイクあり)の術前術後の比較写真です。

治療前です。
左上1番は根管治療した後、へレウス社のバイオ・マイン・ゴールドSG(プレシャス・メタル)でコアを製作しました。左上3番は生活歯です。

治療後です。
クラレ・ノリタケ社のカタナ・システムで製作したジルコニア・フレームを使って
ジルコニア・セラミック・クラウン(シェードテイクあり)のブリッジを作り
左上1番、左上2番、左上3番にブリッジを装着しました。

治療前です。

治療後です。
ジルコニア・セラミック・クラウンのブリッジ(シェードテイクあり)を被せました。
ジルコニア・セラミック・クラウンは透明度も高く、被せ物を明るく製作することが出来ます。
それにより 従来のメタルボンド冠に比べ、天然歯に近い色調を再現することが可能になりました。
_________________________________________________

治療前です。
患者さんは、出っ歯なことと、茶色い歯の色を気にされていました。

治療後です。
ジルコニア・セラミック・クラウン(シェードテイクなし)を使って治しました。
ジルコニア・セラミック・クラウンは出っ歯を治す時には有効な治療法です。
半透明なため、光が透けて 透明感のある、自然でキレイな歯の色の表現が可能です。
_________________________________________________
最近、患者さんから 銀歯や銀の詰め物を外して、白いものに替えたいという声をよく聞くようになりました。

左側の歯は銀歯を外して、フルジルコニアを被せました。 右側の歯は銀の詰め物を外して、ハイブリッド・インレーを詰めました。
奥歯を2本 白い被せ物と白い詰め物で治しましたが、患者さんの希望は全ての歯を白いもので治したいとのこと。更に、1本でも金属は使いたくないとのこと。

そこで、上顎も下顎も 全ての銀歯や銀の詰め物を外して 金属を使わずに 白い被せ物や白い詰め物で治療することになりました。 所謂「メタル・フリー」と言われる治療法です。

治療後です。右から1本目と2本目の歯は、フルジルコニア・クラウン(ドイツのゼノテック・システムで製作)を被せました。 2本とも銀歯を外して「メタル・フリー」を実現しました。

治療後です。左から1本目と2本目の歯は、フルジルコニア・クラウン(ドイツのゼノテック・システムで製作)を被せました。 左から3本目の歯はハイブリッド・インレー(クラレ・ノリタケ社のエステニアで製作)を詰めました。 3本とも銀歯を外して「メタル・フリー」を実現しました。
_________________________________________________

治療前です。

治療後です。
メタルボンド冠(シェードテイクあり)で治しました。
隣の天然歯と全く区別がつきません。リアルに再現されています。

治療前です。

治療後です。
メタルボンド冠(シェードテイクあり)で治しました。
隣の天然歯と全く区別がつきません。リアルに再現されています。
_________________________________________________

治療前です。

治療後です。
メタルボンド冠(シェードテイクあり)を使って治しました。
被せ物が天然歯と区別がつかないぐらい、リアルに再現されています。
_________________________________________________

治療前です。

治療後です。
メタルボンド冠(シェードテイクあり)を使って治しました。
被せ物が天然歯と区別がつかないぐらい、リアルに再現されています。
お気軽にお問合せください
お電話でのお問合せ・ご予約はこちら
052-848-0081
診療時間:10:00~13:00/15:00~19:00
※火曜18:00まで
休診日:木曜・日曜・祝日