〒468-0011 愛知県名古屋市天白区平針2-1007 第一小島ビル1F
地下鉄 平針駅より徒歩3分
診療時間:10:00~13:00/15:00~19:00※火曜18:00まで
休診日:木曜・日曜・祝日
ご予約・お問合せはこちらへ
052-848-0081
Orthodontics treatment
当院の矯正歯科ではお子さまの患者さま専門に非抜歯矯正を行っています。非抜歯矯正は、歯を抜かずに顎の成長を促しながら歯列を広げる矯正のため、お子さまへの負担も少ない治療です。
また、少しでも歯並びに悩むお子さま・保護者さまの助けになりたいという考えから、矯正歯科の治療は一般的相場よりも低価格でご提供を行っています。価格面で矯正について悩まれている方も、ぜひ一度ご相談ください。
※当院では18歳以上の患者さまの矯正治療は行っておりません。申し訳ございませんが、ご了承ください。
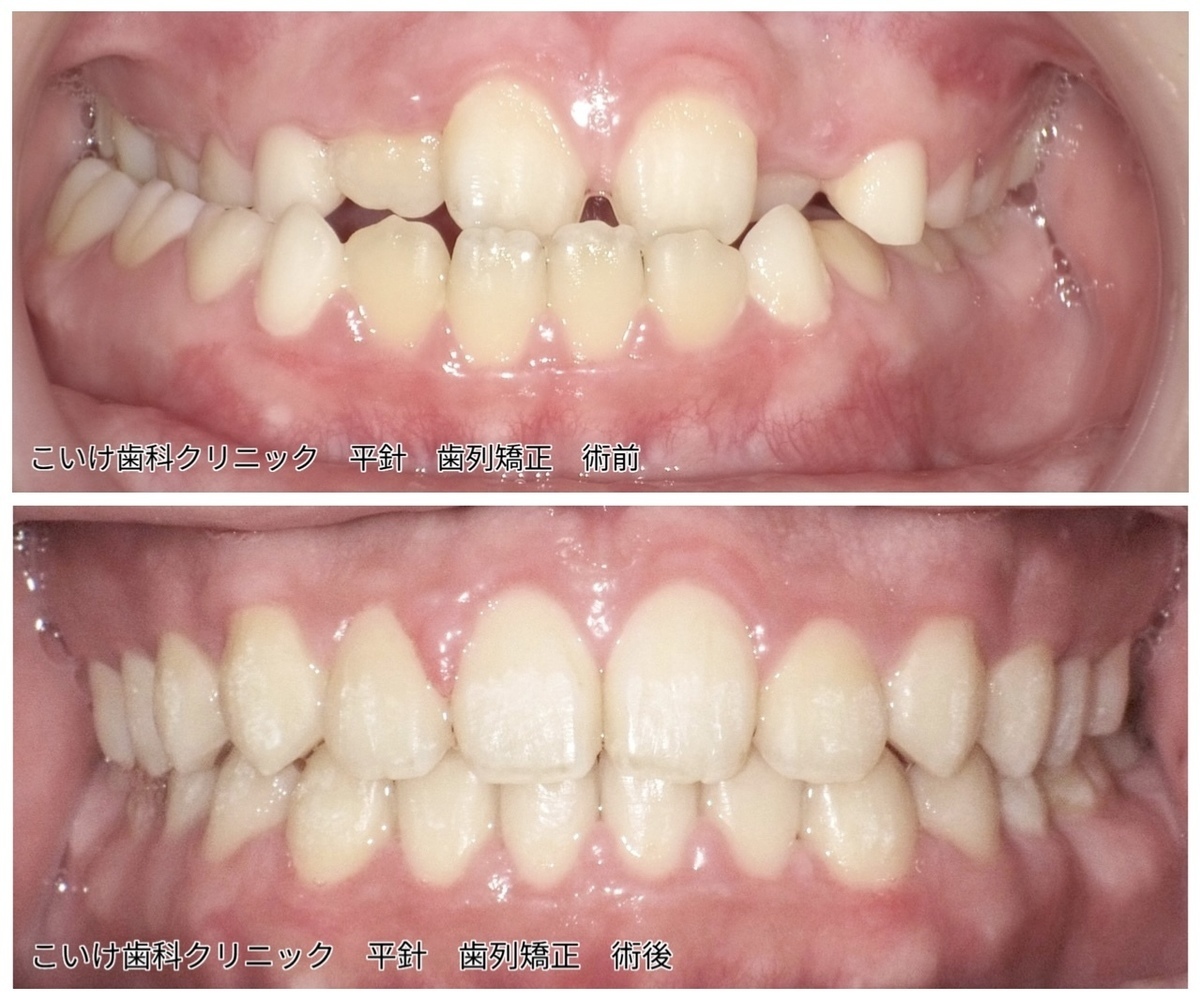
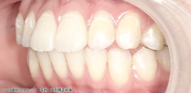
こいけ歯科クリニックで、お子様の矯正治療をした症例の一つです。
_________________________________________________

2026年3月
7年程前に開始した矯正治療が終わり、術後の写真撮影をしました。
全体的な歯列不正の治療を永久歯を抜かない矯正治療(非抜歯矯正治療)で行いました。
患者さんには笑顔で喜んで頂けたので、良かったです。
_________________________________________________

2024年10月
8年程前に開始した矯正治療が終わり、術後の写真撮影をしました。
全体的な歯列不正の治療を永久歯を抜かない矯正治療(非抜歯矯正治療)で行いました。
患者さんには笑顔で喜んで頂けたので、良かったです。
_________________________________________________







当院で矯正治療前です。

当院で矯正治療後です。
2023年3月
5年程前に開始した矯正治療が終わり、術後の写真撮影をしました。
全体的な歯列不正の治療を永久歯を抜かない矯正治療(非抜歯矯正治療)で行いました。
患者さんには笑顔で喜んで頂けたので、良かったです。
_________________________________________________







当院で矯正治療前です。

当院で矯正治療後です。
2022年3月
6年程前に開始した矯正治療が終わり、術後の写真撮影をしました。
オーバーバイト(かみ合わせが深く、正面から下の前歯が見えない状態)の治療を永久歯を抜かない矯正治療(非抜歯矯正治療)で行いました。
患者さんには満足して頂けたので、良かったです。
_________________________________________________







当院で矯正治療前です。

当院で矯正治療後です。
2021年10月
7年程前に開始した矯正治療が終わり、術後の写真撮影をしました。
出っ歯(上顎前突)の治療を永久歯を抜かない矯正治療(非抜歯矯正治療)で行いました。
患者さんには満足して頂けたので、良かったです。
_________________________________________________







当院で矯正治療前です。

当院で矯正治療後です。
2020年7月
2年6ヶ月程前に開始した矯正治療が終わり、術後の写真撮影をしました。
八重歯(犬歯低位唇側転位)の治療を非抜歯矯正治療で行いました。
患者さんには満足して頂けたので、良かったです。
_________________________________________________



当院で矯正治療前です。

当院で矯正治療後です。
2019年12月
6年程前に開始した矯正治療が終わり、術後の写真撮影をしました。
術前写真はアナログで、術後写真はデジタルですから写真に若干の色合いの違いがあります。
開咬(オープンバイト)の治療を非抜歯矯正治療で行いました。
患者さんには満足して頂けたので、良かったです。
_________________________________________________







当院で矯正治療前です。

当院で矯正治療後です。
2019年1月
7年程前に開始した矯正治療が終わり、術後の写真撮影をしました。
術前写真はアナログで、術後写真はデジタルですから写真に若干の色合いの違いがあります。
叢生(そうせい)の治療を非抜歯矯正治療で行いました。
患者さんには満足して頂けたので、良かったです。
_________________________________________________







当院で矯正治療前です。

当院で矯正治療後です。
2017年11月
6年程前に開始した矯正治療が終わり、術後の写真撮影をしました。
術前写真はアナログで、術後写真はデジタルですから写真に若干の色合いの違いがあります。
上顎前突の治療を非抜歯矯正治療で行いました。
患者さんには満足して頂けたので、良かったです。
_________________________________________________




当院で矯正治療前です。

当院で矯正治療後です。
2017年5月
3年程前に開始した矯正治療が終わり、術後の写真撮影をしました。
術前写真はアナログで、術後写真はデジタルですから写真に若干の色合いの違いがあります。
このケースは、左上1番の捻転歯を90度回転させて正常な位置に戻す歯列矯正治療です。
非抜歯矯正治療で行いました。
患者さんには満足して頂けたので、良かったです。
_________________________________________________







当院で矯正治療前です。

当院で矯正治療後です。
2017年4月
5年程前に開始した矯正治療が終わり、術後の写真撮影をしました。
術前写真はアナログで、術後写真はデジタルですから写真に若干の色合いの違いがあります。
反対咬合の治療を非抜歯矯正治療で行いました。
患者さんには満足して頂けたので、良かったです。
_________________________________________________




当院で矯正治療前です。

当院で矯正治療後です。
2017年4月
3年程前に開始した矯正治療が終わり、術後の写真撮影をしました。
術前写真はアナログで、術後写真はデジタルですから写真に若干の色合いの違いがあります。
このケースは、こいけ歯科クリニックでは珍しく
抜歯をしての矯正治療となりました。
右上4番と左上4番の2本の奥歯を抜いての歯列矯正治療です。
矯正治療を開始するタイミングが、もっと早ければ
非抜歯矯正治療で行けたと思います。
患者さんには満足して頂けたので、良かったです。
_________________________________________________




当院で矯正治療終了直後の画像です。
矯正の治療器具であるブラケットを外したばかりですから、天然歯にセメントがこびりついています。
また、矯正の治療器具が装着されていたことで、ブラッシングが困難だったため
周囲の歯肉がブヨブヨして、腫れています。

当院で矯正治療終了した後、余剰セメントを除去してブラッシング指導した後の画像です。
矯正治療終了した後日、当院の歯科衛生士が天然歯を傷つけないよう慎重かつ丁寧にセメントを除去しました。
また、暫くブラッシング指導を続けたことで 歯肉の腫れも引いてきました。
歯面もツルツルでピカピカになりました。
_________________________________________________







当院で矯正治療前です。

当院で矯正治療後です。
2016年6月
5年程前に開始した矯正治療が終わり、術後の写真撮影をしました。
術前写真はアナログで、術後写真はデジタルですから写真に若干の色合いの違いがあります。
綺麗に並んだ歯並びより、注目して頂きたい点があります。
術前写真の奥歯の乳歯に、多数の治療痕がみられます。
矯正治療を開始した当初、患者さんのプラーク・コントロールは悪く虫歯も多かったため
当院の歯科衛生士による、ブラッシング指導と予防処置も同時進行で開始しました。
患者さんと歯科衛生士の努力の甲斐もあって、全部大人の歯(永久歯)が萌え揃った現在
大人の歯(永久歯)には、一本も虫歯がありませんし、また治療痕もありません!!
所謂「カリエス・フリー」の状態です。
この状態を作り出す事が、院長である私にとっての矯正治療の完成形であり
また歯科医師としての無上の喜びでもあります。
尚、大人の歯(永久歯)にはマルチ・ブラケットを装着した際のセメントがついたままですが
このセメントは大人の歯(永久歯)を傷つけないよう、この後 慎重に除去していきます。
_________________________________________________




当院で矯正治療前です。

当院で矯正治療後です。
開院して15年程経った、今から5年程前に治療した症例です。
当時は良いデジタル・カメラが無く、フィルムで撮影しました。
画質が悪いのはご容赦ください。
_________________________________________________




当院で矯正治療前です。

当院で矯正治療後です。
開院して11年程経った、今から9年程前に治療した症例です。
当時は良いデジタル・カメラが無く、フィルムで撮影しました。
画質が悪いのはご容赦ください。
綺麗に並んだ歯並びより、注目して頂きたい点があります。
術前写真の前歯の永久歯に、大量のプラークがみられます。
矯正治療を開始した当初、患者さんのプラーク・コントロールは悪く虫歯も多かったため
当院の歯科衛生士による、ブラッシング指導と予防処置も同時進行で開始しました。
患者さんと歯科衛生士の努力の甲斐もあって、全部大人の歯(永久歯)が萌え揃った現在
大人の歯(永久歯)には、一本も虫歯がありませんし、また治療痕もありません!!
所謂「カリエス・フリー」の状態です。
この状態を作り出す事が、院長である私にとっての矯正治療の完成形であり
また歯科医師としての無上の喜びでもあります。
_________________________________________________

矯正歯科では、小児向けの非抜歯矯正を専門に行っています。
非抜歯矯正とは歯を抜かない矯正治療のことで、歯列を側方に拡大して、歯をきれいに並べるためのスペースを確保していく矯正治療です。
イメージとしては成長に合わせて顎を広げていくような形になります。
矯正が必要ということは、つまり歯が正しく並ばないほど顎が小さく発達してしまっているということです。そのままにしておいたり、抜歯で解決してしまったりすると、顎が正しい大きさまで成長しない危険も。非抜歯矯正ならば、顎の大きさを安定させ歯並びを良くするため、顔立ちもしっかりとバランス良く変化していきます。
逆に、顎が成長しきってしまうと、治療が長期間になったり負担が大きくなったりしてしまう場合も。そのため、お子さまのためにも出来るだけ早めからの矯正開始をご提案しています。
大切なお子さまの負担や成長を考えると、抜歯による矯正は避けたいという保護者さまも多くいらっしゃいますよね。
非抜歯矯正ならば、お子さまへの身体的な負担も抑えられますので、矯正を考えられている患者さま・保護者さまは、ぜひお気軽にご相談ください。

当院では、一般的な矯正治療費の相場よりも低価格での矯正治療を行っています。
非抜歯矯正は、天然の歯を抜いたり削ったりすることなく整えていく治療のため、患者さまからもとても喜んでいただける治療です。また歯科医としても「天然歯をそのままの状態で、よりよい形にできた」と実感できる治療でもあります。
そうした喜んでいただける患者さまを一人でも増やしたい、なるべく軽い経済的負担できれいな歯並びを手に入れてほしい――。
そんな思いから、矯正歯科の治療は一般的相場よりも低価格でご提供を行っています。価格面で矯正について悩まれている患者さま・保護者さまも、ぜひ一度ご相談ください。
また、小児の非抜歯治療は顎の成長を促しながら歯列を安定させていくため、治療開始の年齢が早ければ早いほど治療費も抑えられるメリットもあります。
歯並びや噛み合わせについて、気になることを何でもご相談ください。矯正治療について大まかな説明をいたします。

レントゲン撮影、歯型の採取など、診断のための検査を行います。
検査結果をご説明し、治療計画をご案内します。

治療計画にご納得いただけましたら、治療を開始します。

歯並びが整ったら、保定装置( リテーナー) をつけていただきながら、経過観察を行います。
お気軽にお問合せください
お電話でのお問合せ・ご予約はこちら
052-848-0081
診療時間:10:00~13:00/15:00~19:00
※火曜18:00まで
休診日:木曜・日曜・祝日